Welcome to My Aesthetics: Advanced Composite Fillings in Multan
Are you looking for a trustworthy dental clinic to restore your smile with high-quality, natural-looking fillings? You’ve come to the right place! At My Aesthetics, we specialize in advanced composite fillings that will rejuvenate your smile and boost your confidence. Our team of dental experts in Multan is dedicated to providing the best possible care, ensuring your satisfaction and comfort throughout the entire process.
What Are Advanced Composite Fillings?
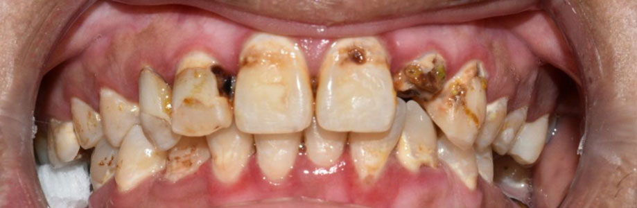
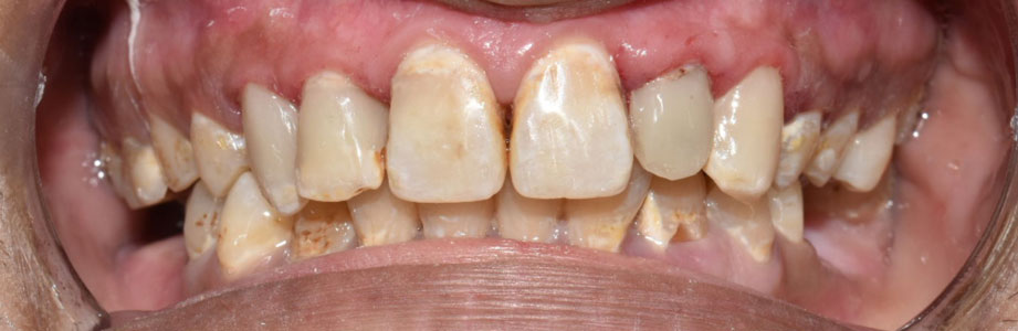
Advanced composite fillings are an innovative dental restoration solution that uses a tooth-colored resin material to repair cavities and decayed teeth. This state-of-the-art dental material is designed to mimic the natural appearance and strength of your teeth, providing a virtually invisible and long-lasting solution for tooth decay and damage.
Why Choose My Aesthetics for Your Composite Fillings?
Our expert dental team specializes in providing complete dental care for patients of all ages. From routine cleanings and check-ups to advanced treatments and procedures, we offer a wide range of services to keep your teeth and gums in optimal health.

Expertise You Can Trust
Our team of experienced dentists and dental technicians have undergone extensive training and education in the field of advanced composite fillings. They stay up-to-date with the latest industry advancements and technologies to ensure the highest level of care for our patients.

Aesthetic Results
We understand that your smile plays a vital role in your self-confidence. Our advanced composite fillings are carefully crafted to match the color, shape, and texture of your natural teeth, providing a seamless and virtually undetectable restoration.

Painless Procedure
We prioritize your comfort and well-being during the treatment process. Our skilled dentists use modern anesthesia techniques to minimize any discomfort or anxiety you may experience during the procedure.

Long-lasting Solution
Advanced composite fillings are not only aesthetically pleasing but also durable and long-lasting. With proper care and maintenance, your composite fillings can last for many years, ensuring your continued satisfaction and confidence in your smile

Affordable Pricing
We believe that everyone deserves access to high-quality dental care. At My Aesthetics, we offer competitive prices for our advanced composite fillings in Multan, ensuring you receive the best value for your investment in your dental health.
Our Commitment to Your Satisfaction
At My Aesthetics, your satisfaction and well-being are our top priorities. From your initial consultation to the completion of your treatment, our team of dental professionals will be with you every step of the way, answering any questions or concerns you may have.
Book Your Consultation Today
Ready to transform your smile with the help of our advanced composite fillings in Multan? Contact My Aesthetics today to book a consultation with one of our dental experts. Together, we’ll discuss your unique dental needs and design a personalized treatment plan to restore your smile and confidence.
Take the first step towards a healthier, more radiant smile by scheduling your appointment with My Aesthetics today. Trust our expertise, professionalism, and commitment to excellence – you’ll be glad you did!
FAQ's
My Aesthetics’s advanced composite fillings offer several advantages over traditional amalgam fillings. These benefits include:
- Aesthetic appeal: Our tooth-colored resin material mimics the natural appearance of your teeth, providing a seamless and virtually undetectable restoration.
- Mercury-free: Unlike amalgam fillings, composite fillings are free from mercury, making them a safer alternative.
- Preserving tooth structure: Composite fillings require less removal of healthy tooth structure, which helps maintain the strength and integrity of your teeth.
- Bonding ability: The advanced composite material bonds directly to your tooth, providing additional support and preventing further decay.
The advanced composite filling procedure at My Aesthetics Multan typically takes about 60-90 minutes per tooth, depending on the size and complexity of the cavity. Our skilled dentists ensure that the process is efficient and comfortable, prioritizing your well-being throughout the treatment.
Many dental insurance plans cover composite fillings as a standard dental treatment. However, coverage may vary depending on your specific plan and provider. We recommend contacting your insurance company to verify coverage for advanced composite fillings. At My Aesthetics, our staff can also assist you with any insurance-related questions or concerns.
To maintain the durability and appearance of your advanced composite fillings from My Aesthetics Multan, follow these simple care tips:
- Practice good oral hygiene by brushing twice daily and flossing at least once a day.
- Schedule regular dental check-ups and cleanings to monitor the condition of your fillings and overall dental health.
- Avoid biting or chewing on hard objects, such as ice or hard candy, to prevent damage to your composite fillings.
- Limit your consumption of staining foods and beverages to maintain the color of your fillings.
Advanced composite fillings from My Aesthetics Multan can be used to treat a variety of dental issues, including:
- Cavities caused by tooth decay
- Chipped or cracked teeth
- Worn-down teeth due to grinding or clenching
- Discolored or stained teeth
- Closing small gaps between teeth
Our dental experts will evaluate your unique dental needs during your consultation to determine if advanced composite fillings are the right solution for you.