Welcome to Expert Dental Hygiene Services in Multan by My Aesthetics
Comprehensive Dental Care for All Ages
Our expert dental team specializes in providing complete dental care for patients of all ages. From routine cleanings and check-ups to advanced treatments and procedures, we offer a wide range of services to keep your teeth and gums in optimal health.

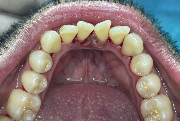
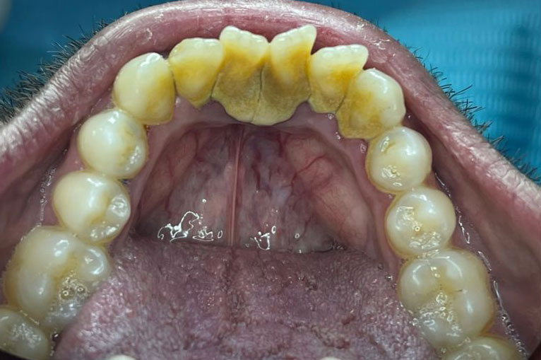
Routine Cleanings and Exams
Regular check-ups and professional cleanings are essential for maintaining good oral hygiene and preventing future dental issues.

Periodontal Care
Our experienced team is skilled in diagnosing and treating gum diseases, ensuring your gums remain healthy and strong.

Teeth Whitening
Achieve a brighter, more confident smile with our professional teeth whitening treatments.

Dental Implants
Replace missing teeth with durable, natural-looking dental implants for improved functionality and aesthetics.

Orthodontics
Straighten your smile with our range of orthodontic treatments, including braces and clear aligners.
State-of-the-Art Technology and Advanced Treatments
At My Aesthetics, we utilize the latest dental technology and equipment to provide the most effective and efficient treatments for our patients. Our advanced tools and techniques allow us to diagnose and treat dental issues with greater accuracy, ensuring you receive the best possible care.
Some of our advanced technologies include:

Digital X-Rays
Our clinic uses the latest technology and equipment, enabling our experts to provide the most effective and comfortable treatments possible.

Intraoral Cameras
We understand that each patient is unique, and our team is dedicated to creating tailored treatment plans that address your specific needs and concerns.

Laser Dentistry
We use dental lasers for various procedures, providing a more comfortable and efficient treatment experience.
Expertise You Can Trust
Our team at My Aesthetics is composed of highly skilled and experienced dental professionals, dedicated to providing exceptional dental hygiene services in Multan. Led by Dr. Shoaib, who has over 10 years of experience, our team is committed to staying up-to-date with the latest advancements in dental care through ongoing education and training.
We believe in a patient-centered approach, taking the time to understand your unique needs and concerns, and providing personalized treatment plans tailored to your specific goals. At My Aesthetics, your oral health and satisfaction are our top priorities.
A Comfortable and Relaxing Environment
We understand that visiting the dentist can be stressful for some people, which is why we have designed our clinic to provide a relaxing and comfortable atmosphere for our patients. Our friendly staff is always available to answer your questions and address your concerns, ensuring you feel at ease throughout your visit.
Schedule Your Appointment Today
Experience the difference of expert dental hygiene services in Multan with My Aesthetics. Contact us today to schedule your appointment and start your journey towards a healthier, more beautiful smile. We look forward to meeting you and providing the exceptional dental care you deserve.
FAQ's
My Aesthetics distinguishes itself through its team of highly experienced dental professionals, state-of-the-art technology, and comprehensive dental care services. Our commitment to patient satisfaction, ongoing education, and utilization of advanced treatments ensures that you receive the best possible care tailored to your unique needs.
Yes, at My Aesthetics, we offer a wide range of specialized dental treatments, including periodontal care, dental implants, orthodontics, and teeth whitening. Our expert team is proficient in diagnosing and treating various dental issues, ensuring the best possible outcome for your oral health.
At My Aesthetics, we prioritize patient safety and comfort during all dental procedures. Our clinic is equipped with advanced dental technology, such as digital x-rays, intraoral cameras, and laser dentistry, which allow us to perform treatments more efficiently and comfortably. Our friendly staff is always available to address your concerns and ensure a relaxing experience.
My Aesthetics accepts most major dental insurance plans. We understand that dental care can be a significant investment, and we strive to make our services accessible to everyone. Our staff will work with you to understand your insurance coverage and explore payment plan options tailored to your budget.
Scheduling an appointment with My Aesthetics is easy. You can contact us by phone, email, or through our website to book your appointment. Our staff will work with you to find a suitable date and time for your visit and provide you with any necessary information to prepare for your appointment.