Call Us Today

Multan: +92 301 8599800
Lahore: +92 301 8599800

Multan Clinic

87-A, Gulgasht Colony, Bosan Road, Multan

Lahore Clinic

19 R2 Khayaban-e-Firdousi Phase 2 Johar Town, Lahore

Dental Services

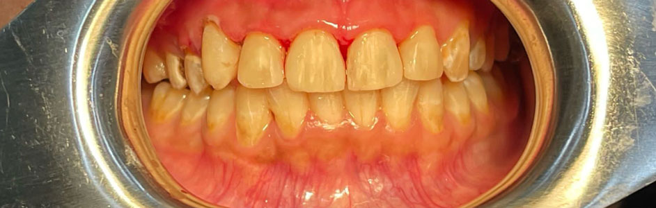
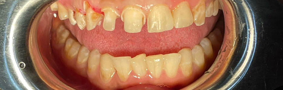
Crown & Bridges

Welcome to My Aesthetics: Top-rated Dentist for Crown and Bridges in Multan

Looking for the best dentist to handle your crown and bridge needs in Multan? Look no further! At  My Aesthetics, our team of skilled professionals is dedicated to providing top-notch dental care in a comfortable and welcoming environment.

Before After

Unparalleled Expertise and Advanced Techniques

At My Aesthetics, we understand that your smile is a reflection of your personality and self-assurance. That’s why we have assembled a team of highly skilled and experienced dental professionals who specialize in crown and bridge treatments. With years of training and a deep understanding of dental aesthetics, our dentists are dedicated to delivering outstanding results that exceed your expectations.

Customized Treatment Plans

We understand that every patient is unique, which is why we take the time to carefully assess your individual needs and develop a personalized treatment plan. From initial consultation to post-treatment follow-up, our team will work closely with you to ensure your experience is as comfortable and stress-free as possible.

Comfortable and Welcoming Environment

Your comfort is our top priority. Our clinic is designed to provide a relaxing atmosphere where you can feel at ease during your visit. We offer amenities such as soothing music, cozy blankets, and aromatherapy to help you unwind during your dental procedure.

Affordable and Accessible Dental Care

We believe that everyone should have access to high-quality dental care, which is why we offer flexible payment options and accept most major insurance plans. Our friendly staff will work with you to find a payment plan that suits your budget, ensuring you receive the dental care you need without breaking the bank.

Unparalleled Patient Satisfaction

Our patients are at the heart of everything we do. We are proud of the positive feedback we consistently receive from our satisfied clients. Don’t just take our word for it – check out our testimonials page to see what our patients have to say about their experiences with  My Aesthetics!

Schedule Your Appointment Today

Ready to experience the difference of top-rated dental care in Multan? Contact us today to schedule your appointment for crowns and bridges at  My Aesthetics. We look forward to helping you achieve the healthy, beautiful smile you deserve!

By choosing  My Aesthetics for your crown and bridge needs, you are entrusting your dental care to a team of dedicated professionals who prioritize your comfort, satisfaction, and overall oral health. With our expertise, state-of-the-art technology, and personalized approach to treatment, you can be confident in the quality of care you’ll receive. Schedule your appointment today and experience the  My Aesthetics difference!

FAQ's

At  My Aesthetics, we offer a variety of crown and bridge options to suit your individual needs and preferences. These include all-ceramic, porcelain-fused-to-metal (PFM), zirconia, and gold crowns and bridges. During your consultation, our expert team will discuss the advantages of each option and help you choose the best solution for your specific situation.

The time it takes to complete a crown or bridge procedure can vary depending on the complexity of the case and the type of restoration chosen. Typically, it takes two appointments to complete a crown or bridge. During the first appointment, our team will prepare the tooth, take impressions, and place a temporary restoration. The second appointment, usually scheduled 1-2 weeks later, involves fitting and cementing the final crown or bridge. Our clinic utilizes advanced dental technology and best lab of the country to ensure efficient and precise treatment.

At  My Aesthetics, we prioritize patient comfort and utilize various techniques to minimize pain and discomfort during your crown or bridge procedure. This includes administering local anaesthesia, offering sedation options for anxious patients, and providing a relaxing atmosphere with amenities like soothing music and aromatherapy. Our team will work closely with you to ensure your experience is as comfortable as possible.

Proper care and maintenance of your crown or bridge are essential for ensuring its longevity. Our team at  My Aesthetics will provide you with detailed instructions for maintaining your new restoration, which may include regular brushing and flossing, using a non-abrasive toothpaste, avoiding hard or sticky foods, and scheduling routine dental checkups and cleanings.

The cost of a crown or bridge procedure at  My Aesthetics can vary depending on factors such as the material used and the complexity of the case. Our clinic offers affordable dental care and accepts most major insurance plans. We also provide flexible payment options to ensure you receive the treatment you need without financial strain. During your consultation, our friendly staff will discuss your insurance coverage and payment options to help you make an informed decision.

What our patients are saying

noman latif
noman latif
2022-12-15
Recommended,👍
Hamza
Hamza
2022-12-15
100% recomended visit know
Iman Akram
Iman Akram
2022-12-08
One of the best aesthetic clinic of multan with promising results ❤️ highly recommended 💫
Muhammd Moazzam Aslam
Muhammd Moazzam Aslam
2022-12-06
Great experience with dr danish. Expert man with expert hand. Highly recommended
Komal Fatima
Komal Fatima
2022-11-28
I had my laser sessions and hydra facial from dr zunaira and I got amazing results AlhumdulliAllah highly satisfied with the results ..highly recommended
Macro Micro
Macro Micro
2022-11-20
Impressive services